فى الآونة الأخيرة لاحظنا أن الحصول على أسنان ناصعة البياض وابتسامة جذابة مثل مشاهير هوليود حلم يراود الكثيرين؛ لذلك نحن فى مركز بيوند سمايل وفرنا لكم التقنية الأكثر انتشارًا وهي تقنية "هوليود سمايل"، وفى هذه المقالة ستتعرف على مفهوم ابتسامة هوليود، وأهم مميزاتها.
هوليود سمايل
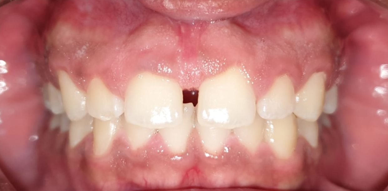
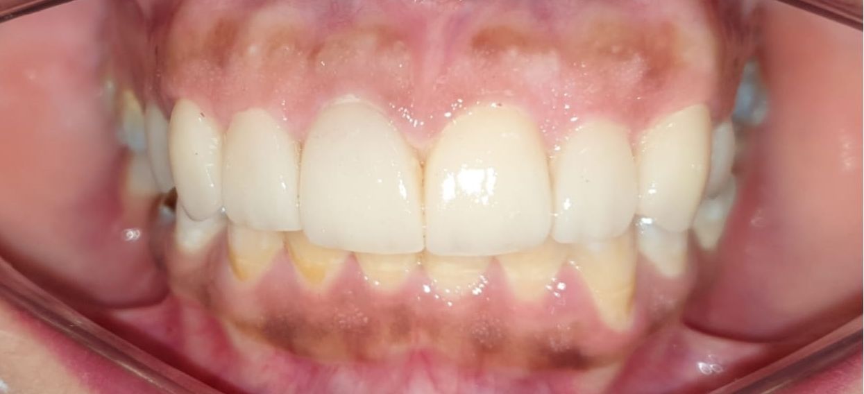
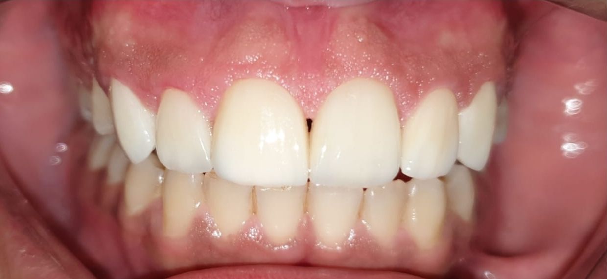
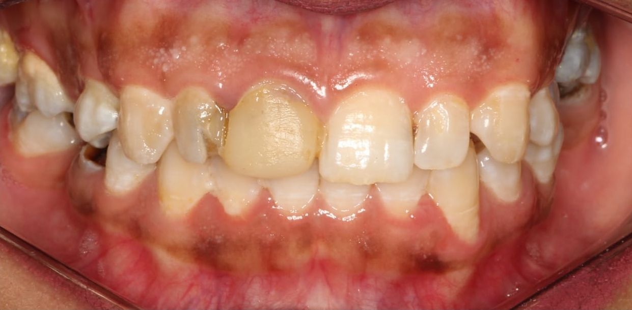
هوليود سمايل هى أحد تقنيات الأسنان التجميلية التي تستخدم فى إبراز جمال الأسنان ومنح الأشخاص ابتسامة جذابة، وهي عبارة عن قشور رقيقة جدًا تصنع من مادة البورسلين ويبلغ سمكها حوالي 1 ملليمتر وتشبه شكل الأسنان الطبيعية؛ حيث يتم تركيبها على الأسنان الطبيعية، لتمنح الأسنان لون ناصع البياض.
مركز بيوند سمايل هو الأفضل
يعتبر مركز بيوند سمايل من أفضل عيادات الأسنان التي تقدم خدمة هوليود سمايل، وذلك لعدة عوامل أهمها:
يتوفر في مركز مركز بيوند سمايل أفضل أطباء طب وتجميل الأسنان في مصر.
نستخدم أفضل أنواع المواد التي يصنع منها هوليود سمايل.
يتم تصنيع هوليود سمايل المناسب لكل شخص.
تقدم خدمة هوليود سمايل بأفضل الأسعار.
كل هذا وأكثر سوف تحصل عليه من خلال زيارة موقعنا، والتواصل معنا من خلال خدمة الأرقام المتوفرة داخل الصفحة الرئيسية لموقعنا الإلكتروني.
شاهد فيديو
نقدم جميع خدمات العناية بالأسنان للكبار والصغار على حد سواء